TEL:045-211-4618
診療時間:10:00~19:00
休診日:祝日および医院が定める日
実際のスライダーの動きは、プレビュー/公開ページでご確認ください

シャングリラデンタル横浜歯科矯正歯科

当法人一般社団法人OCEAN は横浜みなとみらいにクリニック2院を運営しております。OCEAN DENTAL OFFICE MINATOMIRAIは保険診療と自費診療を行うクリニックで、身近で頼れるクリニックとして、シャングリラデンタル横浜矯正歯科は高度なインプラント治療、全顎的矯正治療をはじめ審美、美容治療を主軸に保険治療主体では難しいきめ細やかな医療、サービスを提供しております。

 シャングリラデンタル横浜歯科矯正歯科はより質の高い治療を理事長自ら主治医となり、緻密な治療計画はもとより全ての治療を管理、担当することをお約束します。

 

高度なインプラント治療、矯正治療をはじめ包括的審美治療を提供できるクリニックであり、診療室を3部屋に限定することで、カウンセリングから治療、手術、アフターフォローまで理事長がサポートし、患者様に寄り添えるクリニックとして横浜みなとみらいで一生涯愛される理想のクリニックを目指しております。

 

当法人のすべての患者様にとって理想のクリニックとなれるようスタッフ一同邁進しております。

インプラント治療担当医
シャングリラデンタル横浜歯科矯正歯科理事長

シャングリラデンタル横浜歯科矯正歯科 理事長の梶原基弘と申します。私は以前九州歯科大学インプラントセンターにて診療チーム長を行っており多くの難症例と向き合って参りました。現在は日本口腔インプラント学会の専門医の資格も有しており、横浜みなとみらいの地でインプラント専門クリニックと保険診療から自費診療まで幅広く治療が受けられるクリニックを2院運営しております。当院シャングリラデンタル横浜歯科矯正歯科は理事長自ら主治医となり、カウンセリングから手術、その後の治療まで全て担当させていただき、安心で安全に配慮されたインプラント治療を提供しております。高度なインプラント手術も対応可能であり、CT、光学スキャナー、3Dプリンター、動的ナビゲーションシステム、静脈内鎮静法を用いた先進的なインプラント治療で不安や痛みに配慮するインプラント専門クリニックです。
無料カウンセリング受付中!
24時間・365日受け付けています

インプラント治療に対する不安や恐怖ありませんか?

インプラント治療って痛くないのかな?
費用はいくらくらいかかるのかな?
先生はちゃんとみてくれるのかな?
先生がコロコロ変わるのが不安だな・・・
本当にこの歯は残せないのかな?
ここをクリックして表示したいテキストを入力してください。テキストは「右寄せ」「中央寄せ」「左寄せ」といった整列方向、「太字」「斜体」「下線」「取り消し線」、「文字サイズ」「文字色」「文字の背景色」など細かく編集することができます。



カウンセリングから全ての処置を理事長自ら担当します







オーダーメイドのインプラント治療を貴方に



ノンストレス無痛治療

手術時の痛みが不安なあなたへ
当院はすべての治療において静脈内鎮静法を用いることができます。
治療時の不安や痛みを解消できます。
歯科恐怖症の方も安心して当院で治療が行えてます。

期間限定!お得なキャンペーン実施中!

無料カウンセリングクーポン
キャンペーン
全パッケージ
50,000円OFF
※初回無料カウンセリング後にご契約の患者様に限ります。
キャンペーン期間:2026年1月1日〜1月31日まで
WEB予約時に無料カウンセリング割引クーポン見ましたと書いてください。

プラン詳細・料金

プランごとの詳細と料金を紹介します

実際のカウンセリング予約からインプラント治療までの流れ

【画像表示位置の設定】を使用すると画像が正しい比率で表示されない可能性があります
日本口腔インプラント学会専門医

理事長による無料カウンセリング(60分)

ご希望のご予約いただいたお時間にクリニックにお越しください。
問診から丁寧に患者様のご要望を汲み取ります。
患者様のご希望があればCTを撮影し、より具体的な計画や治療の流れを理事長自らご説明します。
【画像表示位置の設定】を使用すると画像が正しい比率で表示されない可能性があります
術前クリーニングや初期治療が必要な場合のみ

術前治療

正確なCT撮影や、治療計画プランニングのため術前治療が必要なケースがございます。全ての方に必要ではないですが、きちんとした治療を行うための準備です。
当院は治療の質に徹底的にこだわります。
【画像表示位置の設定】を使用すると画像が正しい比率で表示されない可能性があります
大学病院同等以上の環境で衛生的でクリーンなオペ室

専用オペ室でインプラント手術

衛生的な環境でしっかりオペを行います。当然ながらオペ時のクリニック内は患者様1人です。あなただけのための時間をお取りしてチーム全員でオペを成功させます。
【画像表示位置の設定】を使用すると画像が正しい比率で表示されない可能性があります
実際にオペに立ち会う衛生士が専任でフォロー

専任衛生士による充実したアフターフォロー

いつも同じ人だからわかってくれている、こんな安心感が大事だと考えています。私たちは自分たちが通いたいクリニックを本気で創りました。
いつも同じ先生、アシスタント、衛生士がいるクリニックのチーム医療であなたのインプラントだけではなく口腔内をお守りします。

当院で選べるインプラント

5年保証

200000

世界トップシェアのインプラントメーカーと同じ工場で作られているため高品質なインプラントです。当院の中では低価格ではありますが、グローバルで見ると高級なインプラントです。日本に進出してきてまだ歴史が長くないため、当院にはメーカーさんがローコストで導入できました。

10年保証

250000

当院では最も症例数の多い高品質インプラントです。15年以上使用しており信頼感のあるトップシェアのインプラントです。アフターパーツも充実しており、現代インプラントのスタンダードと言えます。



15年保証

300000

骨を高速切削しないことで手術中の痛みや振動に極力配慮した体に優しいインプラントです。
低速回転であってもドリリングがおこなえる単回使用ドリルを使用し周囲骨にダメージを与えない特殊なインプラントです。


見出し

00000

単位

ここをクリックして表示したいテキストを入力してください。

プラン詳細

インプラントブロンズパッケージ(5年保証)
40万円

シンプルなケースに適しております。
1本失った歯を取り戻すには充分なパッケージです。
インプラントは世界No.1のシェアを誇るインプラントメーカーが取り扱うインプラントを使用しており、上部構造(人工歯)は高品質なジルコニアにて製作させていただきます。
当院はお薬代や再診料などすべて含まれているので、後から追加費用はかかりません。

総額の費用が初回無料カウンセリング時の契約で総額が40万円となります。追加の費用等はありません。
※骨造成等の治療が必要な場合は別途費用がかかります。
一括払い
440,000円(税込)
2回払いプラン
1回目:200,000円(税込)
2回目:200,000円(税込)
3~120回プラン
月々:¥4800~148000

見出し
表示したいテキスト

インプラントゴールドパッケージ(10年保証)
55万円

全症例に対応できる安心な長期保証付きインプラントパッケージです。
ガイデッドサージェリーに高品質なジルコニア上部構造付きです。
最も患者様から選ばれるパッケージになっております。
デジタルとの相性もよく治療中に辛い思いをしたくない方にも好評です。
インプラント、パーツに特殊な表面処理を加えることで長期安定が見込めます。
詳しくはカウンセリングでお伝え致します。
当院はお薬代や再診料などすべて含まれているので、後から追加費用はかかりません。

総額の費用が初回無料カウンセリング時の契約で総額が55万円となります。追加の費用等はありません。
※骨造成等の治療が必要な場合は別途費用がかかります。
一括払い
605,000円(税込)
2回払いプラン
1回目:300,000円(税込)
2回目:200,000円(税込)
3~120回プラン
月々:¥6600~203000
見出し
表示したいテキスト

サイナスリフト
(ラテラルアプローチ)

上顎の奥歯のインプラント手術時に骨が少ない場合に多く適応となる骨造成手術です。骨量は多く作れますので骨が少ないのでインプラントができないと言われた方などが適応となる患者様が多いです。

一括払い
275,000円(税込)
見出し
表示したいテキスト

サイナスリフト
バーティカルアプローチ

上顎の奥歯のインプラント手術時に骨が少ない場合に適応となる手術です。比較的少量の骨造成に適しております。
一括払い
110,000円(税込)
見出し
表示したいテキスト

All-on-X

すべての歯が保存困難な場合に、すべての歯をインプラントに置き換える手術です。骨量は多く作れますので骨が少ないのでインプラントができないと言われた方などが適応となる患者様が多いです。

手術前に術前の治療が必要な場合は別途費用がかかります。

一括払い
3,850,000円~6,050,000(税込)
2回払いプラン
1回目:2,750,000円(税込)
2回目:1,650,000円(税込)
3~120回プラン
月々:42,000円~1295700円(税込)

見出し
表示したいテキスト

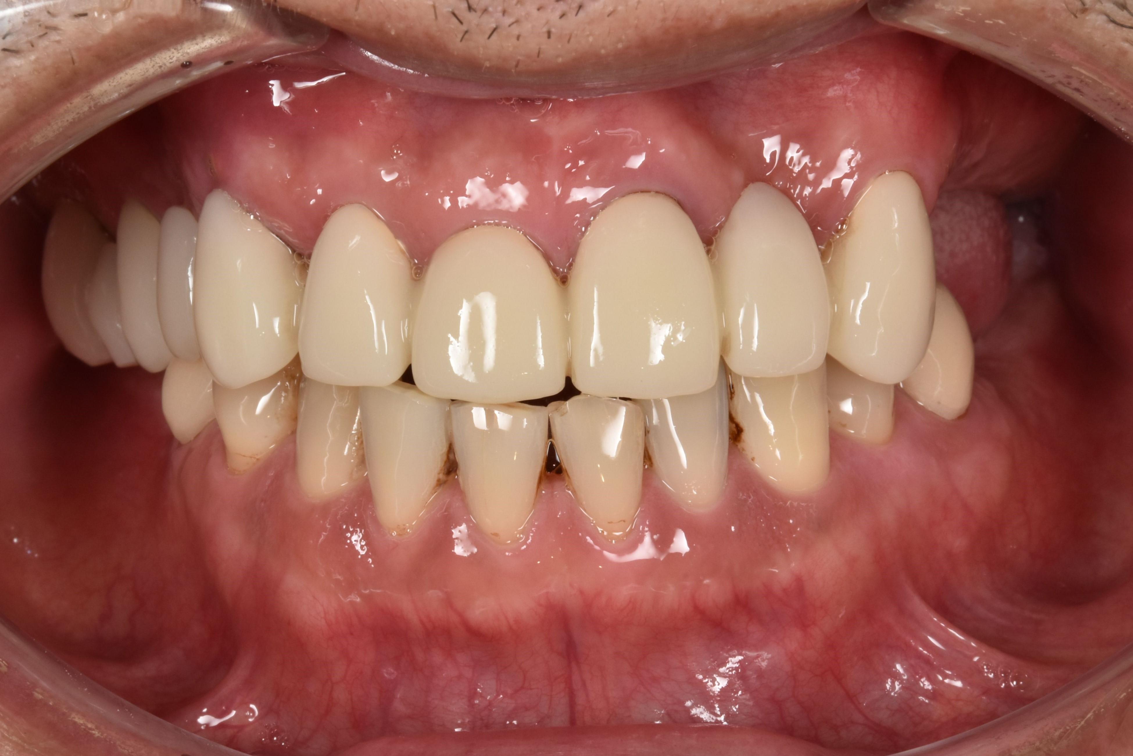
実際の症例①

外傷にて右上1番の中切歯を破折し、保存困難なため抜歯してインプラント治療にて修復することとなった。
初診時に患者様のQOLを考慮して即日コンポジットレジンにて修復し、手術は抜歯即時インプラント埋入手術および即時荷重を計画した。
(歯を抜いた日にインプラントを入れ、さらに仮歯の装着まで行う審美インプラント治療)

Before

主訴:歯が折れてしまった。きれいに治療をしてほしい。
治療内容:抜歯即時インプラント埋入手術

ここをクリックして表示したいテキストを入力してください。

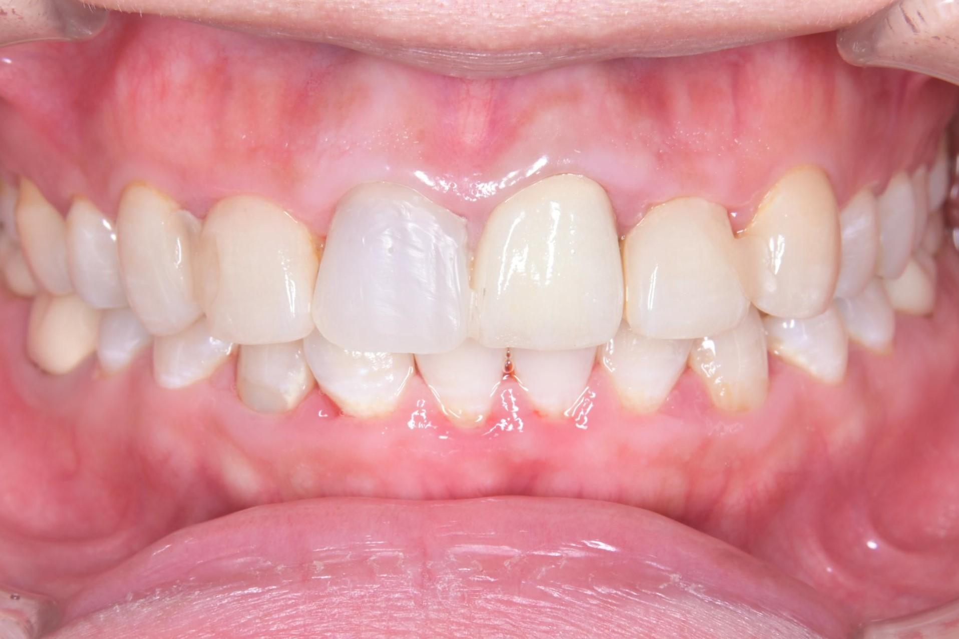
After

治療費用::¥900000
治療リスク:手術後の一時的な痛み、腫れが出る場合がございます。
ここをクリックして表示したいテキストを入力してください。

症例②

他院にてほぼすべての歯が残せないと言われたがインプラント治療はできないと言われたため、当院を受診。
義歯は使いたくないとのことで抜歯即時埋入を希望された。骨造成を併用し、仕上がりも自然に見えるAll-on-6を希望された。
シャングリラ式 Non-Gum All-on-6

Before

主訴:他院にてインプラントが出来ないと言われたがインプラント治療がしたい。絶対に入れ歯は使いたくない。
治療内容:抜歯即時インプラント埋入(All-on-6)
ここをクリックして表示したいテキストを入力してください。

After

治療費用:¥5570000
治療リスク:手術後の一時的な痛み、腫れが出る場合がございます。
ここをクリックして表示したいテキストを入力してください。

症例③

シンプルなインプラントケース

Before

主訴:ブリッジではなくインプラントにしたい
治療内容:インプラント埋入手術

ここをクリックして表示したいテキストを入力してください。

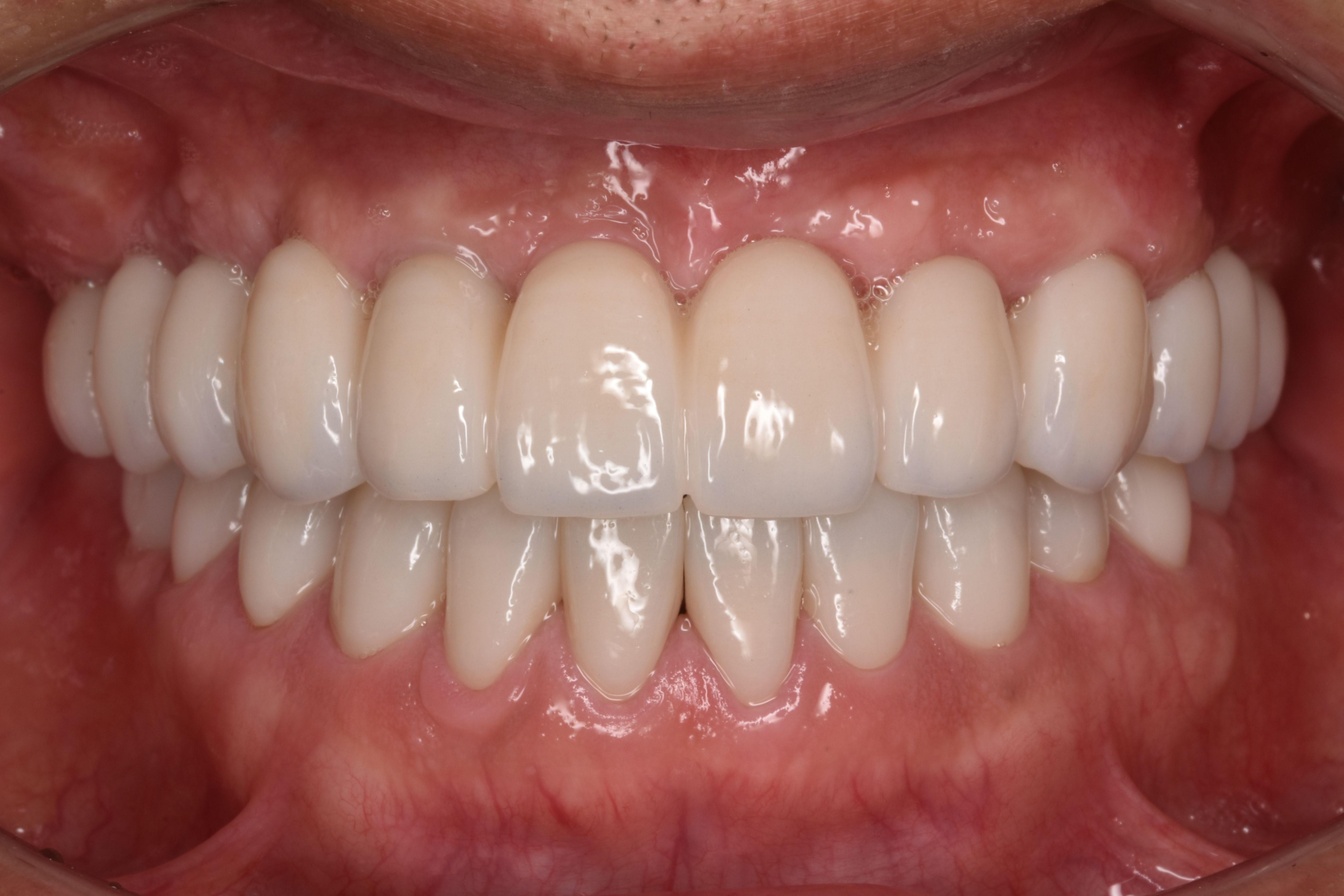
After

費用:¥400000
治療リスク:手術後の一時的な痛み、腫れが出る場合がございます。
ここをクリックして表示したいテキストを入力してください。

患者様の声

セラミック・インプラント治療

50代 男性
長年のコンプレックスだった銀歯をセラミックに変えました。数が多く、途中虫歯の治療も行いながらになり長期間の治療となりましたが、仮歯の間も本製品かと思うくらいのフィット感で安心して過ごせました。こちらの仮歯は医療用の3Dプリンターで作られていて最新の技術に驚きました。セラミックの歯も事前に各種類の費用やそれぞれのメリット・デメリットを丁寧にご説明いただき、納得したうえで治療を進められました。周りの歯とも見分けがつかないくらい自然な白い歯になり、違和感なく食事もでき本当に満足しています。

インプラント治療

30代 女性
かなり歯が悪くなってしまっている自覚がありながらも、歯医者さんに行くのが怖く、恥ずかしく、通い始めるのが遅くなってしまいましたが、先生もスタッフの方もフレンドリーで明るくて、もっと早く通えば良かったと思います。雰囲気が心地よく、治療中も痛みがあるかこまめに気遣ってくれるので、診療に行くのが億劫になりませんでした。もちろん、院長先生のインプラントや外科手術の腕も抜群です。私は骨造成もしていただき、そのままではインプラントが入れられない薄い骨を増やして施術していただきました。歯のラインなど、審美的にも計算し尽くされた仕上がりに大満足です。

インプラント治療

50代 女性
幼少期のトラウマがあり、通常の虫歯治療でさえ静脈麻酔を使用していたくらいの歯医者恐怖症です。 数年前にオーシャンデンタルクリニックで梶原院長に診ていただいて依頼、開業されてからも1時間以上かけて横浜へ通院しています。他院では口も開けられないほど怖いのですが、こんな怖がりの私が2回もインプラント治療を受けられたことは家族も驚くほどの奇跡だと思っています。理解するまで恐怖心を解いてくださる心遣いに毎回甘えてしまいながら、歯を治療することで食事も愉しくなりました^^同じように歯医者さんが苦手な方のお力になれたらと思いこちらに書き込みました。怖がり屋さんのかた、自信を持っておすすめします!

セラミック・インプラント治療

60代 男性
最高のホスピタリティと安心感!
院長先生のカウンセリングが群を抜いて素晴らしい!安心して治療を任せられます。こちらの歯医者さんは、院長先生の説明が本当に丁寧で分かりやすいです。専門的な内容もかみ砕いて話してくださり、親しみやすい雰囲気なので、疑問もすぐに解消できます。そして、スタッフの皆さんの対応が素晴らしいです。常に笑顔で親切な対応をしてくださり、まるで高級ホテルのようなホスピタリティで、来院時の緊張が和らぎます。また、こちらの要望や費用をしっかり配慮してくださり、治療の選択肢を提案してくれるため、相談しながら納得して方針を決められるのが最大の安心ポイントです。患者に寄り添ってくれる、心から信頼できる歯科医院です。

小見出し

サンプル 太郎
ここをクリックして表示したいテキストを入力してください。テキストは「右寄せ」「中央寄せ」「左寄せ」といった整列方向、「太字」「斜体」「下線」「取り消し線」、「文字サイズ」「文字色」「文字の背景色」など細かく編集することができます。
無料カウンセリング受付中!
24時間・365日受け付けています

お支払い方法

現金払い
当日に受付にて精算可能です。
お振込
事前のお振込みにて対応も可能です。
お振込み口座につきましては都度ご案内させていただきます。
見出し
ここをクリックして表示したいテキストを入力してください。テキストは「右寄せ」「中央寄せ」「左寄せ」といった整列方向、「太字」「斜体」「下線」「取り消し線」、「文字サイズ」「文字色」「文字の背景色」など細かく編集することができます。
クレジットカード払い
VISA Master
デンタルローン
3回~120回払いまで対応可能
見出し
ここをクリックして表示したいテキストを入力してください。テキストは「右寄せ」「中央寄せ」「左寄せ」といった整列方向、「太字」「斜体」「下線」「取り消し線」、「文字サイズ」「文字色」「文字の背景色」など細かく編集することができます。

プランや料金に関するよくある質問

実際の公開ページでは回答部分が閉じた状態で表示されます。
  • 自分に合ったパッケージがわかりません。

    口腔内の状態や患者様の要望は様々ですので、実際に無料カウンセリングでCT撮影等を行い日本口腔インプラント学会専門医である理事長の説明を聞いて頂ければ、患者様が自分にとって何が1番合っているか理解でき、納得のパッケージが選択できております。
    まずは無料カウンセリングのご予約をおすすめします。
  • 現在他のクリニックで治療中です。途中でクリニックを変えることはできますか?

    当院は高度なインプラント治療もお受けしておりますので、他院からの紹介患者様も多く受け入れております。
    他院との連携はもとより、転院される方も多くいらっしゃいます。当法人理事長が運営する保険診療も行っているクリニックと至近にございますので、安心して保険診療もお受けすることができます。
  • ◯◯での支払いは可能でしょうか

    紹介文や説明文などを記入してください紹介文や説明文などを記入してください紹介文や説明文などを記入してください紹介文や説明文などを記入してください
  • インプラント治療は痛いですか?

    局所麻酔や静脈内鎮静法を用いるので手術中に痛みは感じません。しかしながら術後に痛みが出るケースもございますので、鎮痛薬を服用いただきます。
    当院はノンストレス無痛治療を行っておりますので、詳しくはクリニックでご相談下さい。
  • 他院でインプラントができないと言われたのですが、相談にいってもよろしいですか?

    現在まですべての症例で対応が可能でしたので、安心してご相談下さい。
    当院は骨造成手術も得意としており、難症例も多く施術させていただいております。
    まずは無料相談にお越しください。
  • とにかく歯医者が苦手です。受け入れてもらえますか?

    多くの歯科医院が苦手な患者様が当院にて歯医者嫌いを克服されています。
    一度カウンセリングにお越しいただき雰囲気を感じてもらえればと存じます。口コミも多く頂いておりますので、口コミもご参考になってください。
  • 先生がコロコロ変わるクリニックが苦手です。貴院は担当医が変わりますか?

    当院はすべてのカウンセリングから処置、アフターフォローまで理事長 梶原基弘が行うクリニックです。
    一人の先生にきちんと診てもらいたいという患者様の声にお応えするべくシャングリラデンタル横浜歯科矯正歯科は主治医は梶原基弘で今後もやっていく所存でございます。

  • ここをクリックして表示したいテキストを入力してください。

    ここをクリックして表示したいテキストを入力してください。テキストは「右寄せ」「中央寄せ」「左寄せ」といった整列方向、「太字」「斜体」「下線」「取り消し線」、「文字サイズ」「文字色」「文字の背景色」など細かく編集することができます。

Access

シャングリラデンタル横浜歯科矯正歯科

  • 所在地
     〒220-0012 神奈川県横浜市西区みなとみらい5丁目1−2 横浜シンフォステージウエストタワー3階
  • 電話番号
    045-211-4618
  • 営業時間
    平日・土日診療
    10:00~13:00
    15:00~19:00

    休診日
    祝日・その他休診日はホームページをご覧ください
  • アクセス
    みなとみらい線 新高島駅 徒歩2分
     4番出口(臨港パーク口)※エスカレーター
     3番出口(大通臨港口)※階段
    みなとみらい線 みなとみらい駅 徒歩8分
     1.2番出口
    JR横浜駅 東口から徒歩10分
     デッキでつながっております

    駐車場あり
    横浜シンフォステージ駐車場をご利用ください
  • アクセス
    ここをクリックして表示したいテキストを入力してください。
  • アクセス
    ここをクリックして表示したいテキストを入力してください。